치료 전/후증례 5 페이지

본문 바로가기

치료 전/후증례 5 페이지

치료 전/후증례
Total 174건, 5 페이지
치료 전/후증례 목록
•진료과목
•내용
치아미백 전후 증례
치료 전 치아상태 : 전체적으로 치아가 누렇고 어두운 상태
치료 진행 : 줌2 치아미백 6회 진행
•진료과목
•내용
잇몸치료 전후 증례
치료 전 치아상태 : 전체적으로 잇몸이 붓고 피가 나는 상태,
치석이 많이 쌓여 잇몸이 수축된 상태
치료 진행 : 3주간 치석제거+잇몸치료 진행
•내용
올세라믹+라미네이트 전후 증례
치료 전 치아상태 : 돌출입 + 토끼이빨 + 변색된 앞니
치료 진행 : 올세라믹 4개 라미네이트 2개 진행 + 치아미백
•진료과목
•내용
올세라믹 전후 증례
치료 전 치아상태 : 앞니 2개가 외소치(작은치아)
치료 진행 : 올세라믹 2개 진행
•진료과목
•내용
올세라믹 전후 증례
치료 전 치아상태 : 앞니충치 + 벌어진 앞니
치료 진행 : 올세라믹 4개 진행
•내용
올세라믹 + 잇몸성형 전후 증례
치료 전 치아상태 : 돌출입 + 벌어진 앞니
치료 진행 : 올세라믹 6개 + 잇몸성형 진행
•내용
라미네이트 잇몸성형 전후 증례
치료 전 치아상태 : 앞니 두개가 돌출되었고 옆에 치아는 크기가 작음
치료 진행 : 라미네이트 + 잇몸성형 진행
•내용
앞니부분교정(투명교정) 전후 증례
치료 전 치아상태 : 앞니가 틀어져있었음
치료 진행 : 상악 투명교정으로 앞니부분교정 진행
•내용
돌출입 올세라믹 전후 증례
치료 전 치아상태 : 돌출입 + 토끼이빨
치료 진행 : 올세라믹 4개 + 치아미백 치료 진행
•내용
돌출입 올세라믹 전후 증례
치료 전 치아상태 : 돌출입 + 토끼이빨
치료 진행 : 올세라믹 4개 + 치아미백 치료 진행
•내용
급속돌출입교정(클리피씨) 전후 증례
치료 전 치아상태 : 돌출입 + 토끼이빨
치료 진행 : 급속돌출입교정 클리피씨 진행
•내용
라미네이트 + 올세라믹 전후 증례
치료 전 치아상태 : 앞니 변색 및 틀어진 앞니
치료 진행 : 라미네이트+ 올세라믹 + 치아미백 진행
•내용
라미네이트+ 올세라믹 전후 증례
치료 전 치아상태 : 앞니 돌출 및 틀어진 앞니
치료 진행 : 라미네이트2개 + 올세라믹2개 + 치아미백 진행
•내용
라미네이트+ 올세라믹 전후 증례
치료 전 치아상태 : 벌어진앞니 + 틀어진 앞니
치료 진행 : 라미네이트2개 + 올세라믹2개 + 치아미백 진행
•내용
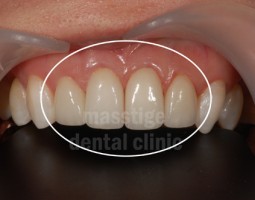
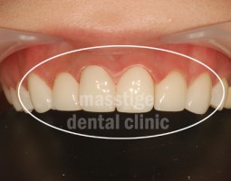
라미네이트 (벌어진앞니) + 잇몸성형 전후 증례
치료 전 치아상태 : 벌어진앞니, 전체적 치아가 작아 치아 사이사이 공간이 큼
치료 진행 : 라미네이트 + 잇몸성형 + 치아미백 진행
게시물 검색
서울매스티지치과의원 | 서울시 강남구 봉은사로 105, 1층, 6층 (논현동 동양빌딩, 신논현역 3번출구)
대표자 : 안교희 | 사업자등록번호 : 211-10-44913 | TEL : (02)3446-8275 | FAX : (02)3446-8276
Copyright © 2026 SEOUL MASSTIGE DENTAL CLINIC. ALL RIGHTS RESERVED. DESIGNED BY WHITEORANGE
상담·예약안내02.3446.8275
X 창 닫기
X 창 닫기
X 창 닫기
개인정보 수집 및 이용에 대한 안내

카카오톡 상담

원하시는 상담분야를 선택하신 후 아래 사항을 입력해주시면
카카오톡 상담을 도와드립니다.
자세히 보기

온라인 상담

궁금하신 사항을 질문으로 남겨주시면 성심성의껏
자세히 답변해 드리겠습니다.
제목 답변

작성자

빠른상담신청

아래 사항을 입력하시면 빠른상담을 도와드립니다.
자세히 보기

프로모션

원하시는 항목을 선택하시면 해당하는 프로모션으로 이동합니다.
제목 글쓴이

날짜

오시는길

서울매스티지치과로 오시는 길을 안내드립니다.
오시는길

9호선 신논현역3번출구, 교보타워 사거리로 오시면
그 곳에 바로 저희 서울매스티지치과를 보실 수 있습니다.

진료시간

서울매스티지치과의 진료시간을 안내드립니다.
  • 수,목

    AM 10:00 ~ PM 07:00
  • 월,화,금(야간)

    AM 10:00 ~ PM 09:00
  • 토요일

    AM 10:00 ~ PM 02:00
  • 일요일 및 공휴일

    휴진
토요일은 점심시간 없이 진료합니다.

휴대폰 전송

연락처를 입력하시면 휴대폰으로 약도를 전송해 드립니다.